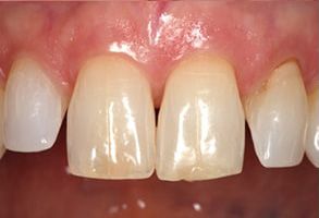
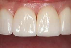
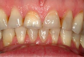
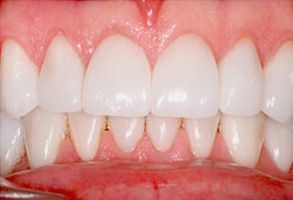
Every smile deserves personalized care and attention, and our mission is to make every patient feel valued, understood, and confident. From the moment you arrive, our compassionate team is dedicated to ensuring your comfort while providing an experience that’s as relaxing as it is effective. We offer a full range of dental services tailored to your individual needs—combining innovative technology with trusted techniques to help you achieve lasting oral health and a beautiful, confident smile.
Our approach to dentistry is comprehensive and patient-centered. Whether you’re visiting for a routine cleaning, cosmetic enhancement, or restorative treatment, we take the time to understand your goals and deliver results that exceed expectations. With advanced technology, skilled expertise, and genuine care, we’re here to make every visit a positive step toward your healthiest smile.














